Çocuklarda tedavi edilmemiş müzmin bademcik ve geniz eti büyümeleri. Büyüme ve gelişim geriliklerine, dikkat dağınıklıklarına, okul başarısızlıklarına, zeka problemlerine, sosyo-pskolojik hastalıklara neden olabilmektedir. Bunun yanı sıra kalp, akciğer rahatsızlıkları gibi, daha pek çok hastalığında habercisi olmaktadır.
İçindekiler
Geniz Eti (Adenoid Vejetasyon ) Ve Bademcikler (Tonsiller)
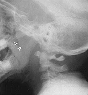
Ağzının arka üst kısmında yani burnun en arka nazofarenks denilen bölgedesinde yer alan dokulardır. Normalde bakıldığında görülmezler, görülmeleri için özel muayene yöntemi gerektirir. Geniz etleri endoskopik muayene , küçük muayene aynaları veya röntgen ile yöntemlerle görülebilir. Vücut için faydası olmayan lenf dokulardır. Genellikle çocuklarda bulunurlar. Burun etleri diye ifade edilen kavram burnun giriş kısmında bulunan ve fonksiyonu olan burun için faydalı organlardır. Genellikle geniz eti ile karıştırılır. Bunların farklı yapılar olduğu bilinmelidir.
Bademcikler (tonsil) dişlerinin arkasında boğaza bakıldığında küçük dilin iki yanında açıkça görülebilir;. Birlikte bağışıklık savunma görevini yaparlar, vücuda ana girişinde, soluduğumuz ve beslenirken alabileceğimiz olası mikroplara karşı yabancı işgalcilerden ilk korunma yoludur. Vücudun dokularının kalan aksine, bu yapılar çocukluk yaşlarının ortalarında en büyük boyut ulaşır ve daha sonra küçülerek sorun yaratmadan yerlerinde kalırlar. Geniz eti ve bademciklerin bu şekilde davranmaları, çocukların bulaşıcı hastalıklar dolu bir dünyada vücut savunmaları için gereklidir.
Normal büyüme ötesinde, sık geçirilen enfeksiyonlarda geniz eti ve bademcikler aşırı büyürler. Mikropları defetmek için sık şişmeleri sonucunda, genellikle tamamen eski boyutuna geri dönmez. Her geçirilen enfeksiyon bir sonrasında daha büyümelerine neden olur, gide rek sıkıntıyı artırır. Daha da kötüsü, bu büyümüş yapılar sünger benzeri bir yapıya dönüp, mikropları yok edemezler. Kripta adı verilen derin ceplerde vücudun sürekli mikrop barınağı ve mikroplar için daimi üreme yerleri olurlar.

Geniz Etinin Neden Olduğu Olumsuz Etkiler Nelerdir?
Geniz eti çok büyükse burundan nefes alıp vermeyi engeller. Buna bağlı olarak;
- Gece ağzı açık uyuma, horlama, uykuda nefes durması, gündüz gürültülü solunum oluşur.
- Çocuklarda büyüme gelişme geriliği yapabilir.
- Sık üst solunum yolları enfeksiyonu geçirme sebebi olabilir.
- Diş ve çene gelişimini olumsuz etkileyebilir.
Büyük geniz eti orta kulak havalanmasını bozabilir. Böyle bir durumda;
- Tekrarlayan orta kulak enfeksiyonlarına yol açabilir.
- Bazen orta kulakta sıvı birikmesine yol açarak işitme kaybına sebep olur (seröz otit).
- Gece altını ıslatma sebebi de geniz eti ne bağlı burun tıkanıklığından kaynaklanabilir.
- Geniz eti olan çocukların sesleri de olması gerektiğinden farklıdır. Boğuk bir ses tonu ile konuşurlar

Herhangi bir üst solunum yolu rahatsızlığı geçirmemesine rağmen her gece burnu tıkalı oluyor ve horluyorsa geniz eti olma ihtimali düşünmelisiniz. Bir KBB uzmanına başvurmanız doğru olur.
Aileler Ne Zaman Endişelenmeli
Geniz eti nispeten yaygın bir çocukluk hastalığıdır. Bir çocuk genellikle geniz eti olan çocuklarda kulak enfeksiyonları sık tekrarlar. Beraberinde kulak enfeksiyonları işitme bozuklarına da neden olabilir. Gecikmiş konuşma gibi ikincil bir komplikasyonu önlemek için, adenoidektomi adı verilen geniz etinin alınması sık sık başvurulan cerrahi bir yöntemdir.
Bademcik veya geniz eti büyük ise, çocuk sadece küçük lokmalarla ve yumuşak gıdalar alarak beslenmeye çalışır, yeme düzeni bozulur. Buda iştah düzenini etkiler. İkincil etki olarak çocukta anemi adı verilen kan değerlerinde bozulmalar ve direnç düşmeleri yaşanabilir. Ayrıca çocuk uykuda boğulma, nefesiz kalma periyotları yaşar. Gündüz, gece olsun burun yolu kapalı olması nedeni ile ağızdan solunum olabilir.
Genellikle, çok yüksek sesle horlama vardır, Uyurken de birkaç saniye nefes kesilmesi şikâyetleri olur. Yatakta sık dönmeler nedeniylede uykuyu yeterince alamazlar. Bu durumların sonucunda gün içinde uyuklama periyotları, dikkat dağınıklıkları, huzursuzluk, agresif davranışlar görülebilmektedir. Bu durum uzun süre devam eder, tedavi edilmez ise yıllar içinde uyku bozukluğu ile çocuk büyüme gelişim bozuklukları ve hatta zeka problemleri ciddi durumlar yaratabilir. Bunun yanı sıra kalp ve akciğerler sisteminde problemler yaşanabilir, Bademcik giriş yolu olan A grubu Beta hemolitik streptokok enfeksiyonu sonucu oluşan toksinlerle, daha ciddi kalp veya eklem romatizmaları, böbrek yetmezlikleri en dramatik hastalıklara davetiye çıkarabilir.

Tedavi
Geniz eti ve bademcik ameliyatları (tonsillektomi ve adenoidektomi ) en sık uygulanan sık yapılan majör cerrahi işlemdir.
Dünyada Özellikle Amerikan çocuk ve kulak burun boğaz derneklerinin kriterleri baz alınır. Bu kriterlere uyan bademcik ve / veya geniz etleri için standart cerrahi bir yol izlenir. Bu cerrahi işlemin adı tonsillektomi ve adenoidektomidir. Bu dokuların bağışıklık gelişimi için yararlı olduğunu fikri, zamanla tıbbi görüşlerinde değişmesine bağlı bu konuya bakılış açısında değiştirmiştir. Örneğin, bademcikler ve geniz eti olmasa, yani alınsa bile o bölgedeki dokular kısmi bağışıklık sağlamakta olduğu, kanda lenfosit denilen hücrelerin bu görevleri üslendiği ve bağışıklığın sağlandığı çalışmalarla ortaya konulmuştur. Geniz eti büyümeleri bağışıklık gelişiminin normal bir parçasıdır ve bağışıklık gelişimine önemli rolleri için saygı duyulmalıdır.
Onların büyüklüğü solunum veya orta kulak drenajını engelleyerek sık kulak iltihaplarına neden olmaz ise müdahaleye gerektirmeyecektir.
Birçok alternatif tedavi bağışıklık fonksiyonu güçlendirici olarak kullanılmaktadır. Bu çeşit ek destek tedavileri bağışıklık sistemine destek sağlamasının yanı sıra, genellikle katlanarak artmış veya geri dönüşümsüz geniz eti ve bademcik sorunlarına bir fayda sağlayamamaktadır. Son derece büyük bademcikler, solunum ve yutmayı bozabilir. Büyük geniz etleri burundan nefes almayı bozabilir, ağızdan solunuma yönlendirir. Orta kulağın geniz arasındaki tek bağlantı yolu olan östaki tüpü diye anılan yolu da etkileyerek sık orta kulak enfeksiyonlarına neden olurlar ve tedavilerle düzelme sağlanmadığında cerrahi işlem kaçınılmazdır. Gıda alerjileri bademciklerinde olayın alevlenmesinde rolü olabilir. Yapılacak Cerrahi ile alerjik gıdalar nedeniyle oluşan sorunların büyük ölçüde hafifletilmesinde yardımcı olabilir.
Bademcikte Ne Zaman Ameliyat Yapılmalıdır?
- Kronik Tonsillit: Yeterli medikal tedaviye rağmen sık tekrarlayan bademcik iltihapları ameliyat sebebidir.
- Bunun Kriterleri Nelerdir : Boğaz iltihapları bir yılda 7 ya da daha fazla bademcik İltihabına sebep oluyorsa veya toplam iki yılda her bir yıla düşen 5 kez, yada toplam 3 yılda her biri yıl için 3 veya daha fazla bademcik iltihabı geçirilmesi. (Bu kriter içine neler alınmalıdır: boğaz ağrısı, ateş 38.3 o C üstü ilave olan / veya olmayan boyun bölgesinde hassas 2 cm altında lenf düğümleri, veya bademciklerde kızarıklık iltihabı görüntü, veya A grubu b-hemolitik streptokok için pozitif kültür, Antibiyotikler ile tedavi edilmiş kanıtlanan bademcik iltihapları. Bu kriter klinik kayıtlarında kesin bademcik enfeksiyonu tanısı olarak kayıt edilmiş veya bu tüm geçirilen enfeksiyonların en az yarısı KBB doktoru tarafından tam olarak belgelenmiş ise )
- İleri Derecede Büyüklük: üst solunum yolu tıkanıklığına sebep olup uykuda solunum durmalarına neden oluyorsa, şiddetli disfaji (yutma sorunu ), uyku bozuklukları veya kalp ve akciğer problemlerine yol açıyorsa veya başka ciddi bir hastalığa davetiye çıkarıyorsa.
- Bademcikte Apseleşme : ( Peritonsiller apse) cerrah tarafından belgelenerek, medikal tedavi ve apse boşalmasına yanıt vermiyorsa, cerrahi süreç akut aşamada yapılabilmektedir.
- Streptokok Mikrobu Taşıyıcı Bademcik : A grubu beta hemolitik streptokok enfeksiyonu barındıran ve beta-laktamaz dirençli antibiyotiklere yanıt vermeyen kronik veya tekrarlayan tonsillit
- Tek Taraflı Büyüklük : Tek taraflı tonsil ( Ayrıntılı tetkiklerle beraber)
- Ağız Çene Gelişimini Bozacak Düzey: Diş hekimi(ortodontist ) tarafından belgelenmiş ağız-yüz (ağız-yüz) farklı orantısal bozukluk veya gelişimini etkileyen neden.

Ne Yapılmalı?
Şikayetlerle ilişkili sorun çözülemiyor ve tedaviler sonuçsuz ise Tedavi cerrahidir. Genel anestezi altında tıkayıcı geniz eti ameliyatla alınmalıdır. Ameliyat tam donanımlı hastanelerde genel anestezi altında yapılmalıdır. Ameliyat günü hastaneye aç ve susuz gidilmelidir. İşlem öncesi bazı tetkikler yapılarak ameliyata engel bir durum olup olmadığı araştırılır. Her şey normalse ameliyata alınır. Geniz eti ameliyatı yaklaşık 15-30 dakika sürer. Hasta açısından kolay bir ameliyattır. Geniz eti ameliyatı 1 yaşından itibaren yapılabilir.
Ameliyat sonrası 3 gün kadar katı, kuru, sıcak yiyeceklerden uzak durulmalıdır. Sulu yumuşak gıdalar tercih edilmelidir. Aşırı efordan sakınılmalıdır. Aksi takdirde nadir görülmekle beraber ameliyat sonrası kanama olabilir. Kanamanın olmaması için ameliyat öncesi aspirin benzeri ilaçları kesmekte dikkat edilmesi gereken bir noktadır.
Eğer bademciklerin veya geniz etinin alınması için bir tıbbi neden oluşmuş ise ameliyatla alınması gerekebilir. Günümüzde bademcik ameliyat yöntemleri arasında Klasik yöntem (soğuk diseksiyon), Elektrokoter yöntemi, harmonic scalpel, laser, ligature , thermal welding gibi yöntemler tanımlanmıştır. Her teknik birbiriyle kıyaslandığında, her birinin diğerine göre üstünlüğü mevcuttur. Klasik yöntemde en çok aileleri endişelendiren ameliyat esnasında olan kanamadır. Bu kanama miktarı 5 ila 10 cc kadardır. hiç bir zaman risk oluşturmaz. Klasik yöntemde geç dönem kanamalar diğer yöntemlere göre daha azdır. Diğer yöntemlerde ameliyat sırasında kanama ya olmaz yada minimaldir. Fakat geç dönemde kanama riski klasik yönteme göre daha fazladır. Ağrı ve iyileşme süresi her bir yöntemde farklı farklıdır. İngiltere'den yapılan en son Avrupa merkezli binlerce Çocuk'ta bu yöntemler karşılaştırılmıştır. Bu çalışmada Klasik yöntem ilk sıralarda yerini almaktadır. Halen Amerika ve Avrupa'da en çok tercih edilen yöntemdir.. Hatta Son bir yıldır klasik yöntem yani soğuk diseksiyon yöntemi robotik cerrahide kullanılmaya başlanmıştır.Tüm bu yöntemler kafanızı karıştırmış olabilir. Her bir hekim sizlere farklı teknikler önerebilir. Bademcik ve geniz eti ameliyatlarında En önemli şey doktorunuz deneyimdir. Pek çok cerrahi teknik tanımlanmasına rağmen , Her bir uzmanın kendi tercihi olan ve iyi sonuç aldığı yöntemlerden birini tercih edebileceğini aklınızdan çıkarmayın. Kullanılan teknikler hakkında çok endişelenmeyin.
Not: Sayfa içeriği sadece bilgilendirme amaçlıdır, tanı ve tedavi için mutlaka doktorunuza başvurunuz.


